23210 64060
6977 221 951
tsakalidis.chris@gmail.com
Δ. Σολωμού 12, Σέρρες
ΑΡΧΙΚΗ
ΙΑΤΡΕΙΟ
ΒΙΟΓΡΑΦΙΚΟ
ΣΥΜΠΤΩΜΑΤΑ
ΠΑΘΗΣΕΙΣ
          ΚΑΡΚΙΝΟΙ ΟΥΡΟΠΟΙΟΓΕΝΝΗΤΙΚΟΥ
ΠΑΘΗΣΕΙΣ ΑΝΔΡΙΚΩΝ ΓΕΝΝΗΤΙΚΩΝ ΟΡΓΑΝΩΝ
ΛΙΘΙΑΣΕΙΣ ΟΥΡΟΠΟΙΗΤΙΚΟΥ
ΣΕΞΟΥΑΛΙΚΩΣ ΜΕΤΑΔΙΔΟΜΕΝΑ ΝΟΣΗΜΑΤΑ
› Καρκίνος των όρχεων
› Παραφίμωση
› Λιθίαση της ουροδόχου κύστης
› Χλαμύδια - Ουρεόπλασμα -
Μυκόπλασμα
› Καρκίνος της ουροδόχου κύστης
› Υδροκήλη
ΑΝΔΡΙΚΗ ΣΕΞΟΥΑΛΙΚΗ ΔΥΣΛΕΙΤΟΥΡΓΙΑ
› Έρπης γεννητικών οργάνων
› Επιδιδυμίτιδα του όρχη
› Συστροφή του όρχεως
› Στυτική δυσλειτουργία
ΠΑΘΗΣΕΙΣ ΤΟΥ ΠΡΟΣΤΑΤΗ
› Σύφιλη
› Νόσος του Peyronie
ΟΥΡΟΛΟΙΜΩΞΕΙΣ
ΑΝΔΡΙΚΗ ΥΠΟΓΟΝΙΜΟΤΗΤΑ
› Νυχτερινή ενούρηση
ΠΡΟΠΤΩΣΗ
› Κιρσοκήλη
ΑΚΡΑΤΕΙΑ ΟΥΡΩΝ
ΕΠΙΚΟΙΝΩΝΙΑ
Παθήσεις Των Γεννητικών Οργάνων Του Άνδρα
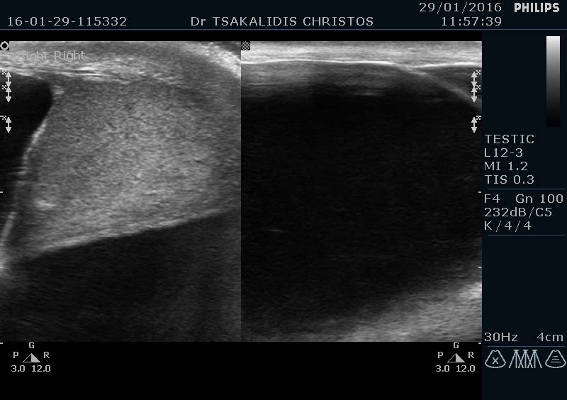
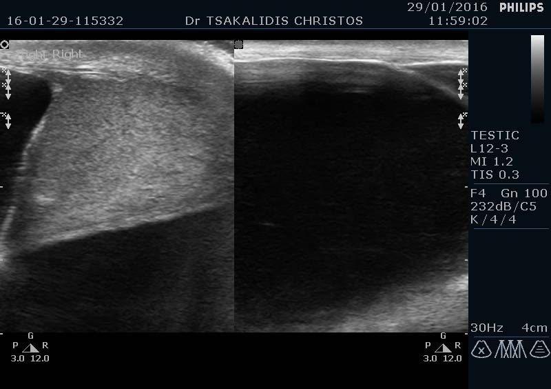
Υδροκήλη
Ονομάζεται η ύπαρξη υγρού γύρω από τον όρχι.,με αποτέλεσμα να διογκωθεί Είναι συχνή κατάσταση στα νεογνά άλλα συνήθως εξαφανίζεται στον πρώτο χρόνο της ζωής αυτών. Μπορεί να παρουσιαστεί και σε μεγαλύτερα αγόρια άλλα και στους άνδρες. Συνήθως όταν είναι μικρή είναι ακίνδυνη και δημιουργεί μονό αισθητικό πρόβλημα. Αν μεγαλώσει σημαντικά είναι δυνατόν να προκαλέσει προβλήματα στη λειτουργία του όρχι. Πάντα όμως σε περίπτωση διόγκωσης του όρχι θα πρέπει να εξετάζεται ο ασθενής από ουρολόγο για να αποκλείσει παθήσεις όπως ο καρκίνος των όρχεων άλλα και η φλεγμονή των όρχεων.
Η θεραπεία είναι χειρουργική μπορεί να γίνει και με τοπική νάρκωση. Ο ασθενής χειρουργείται και εξέρχεται από την κλινική την ίδια ημέρα. Επιπλοκές από την επέμβαση αυτή είναι σπάνιες.
Περίπτωση υδροκήλης ασθενή κ Τσακαλίδη
Υπέρηχος υδροκήλης ασθενή κ Τσακαλίδη